Stomach Pain and Unusual Movements Lead to Discovery of Coin in Woman’s Stomach
In a rare and surprising medical case, a young woman experienced unusual movements and severe stomach pain while operating medical equipment at a hospital. After 16 years of no health issues, her condition prompted her to seek medical advice, leading to the discovery of a coin stuck in her stomach.

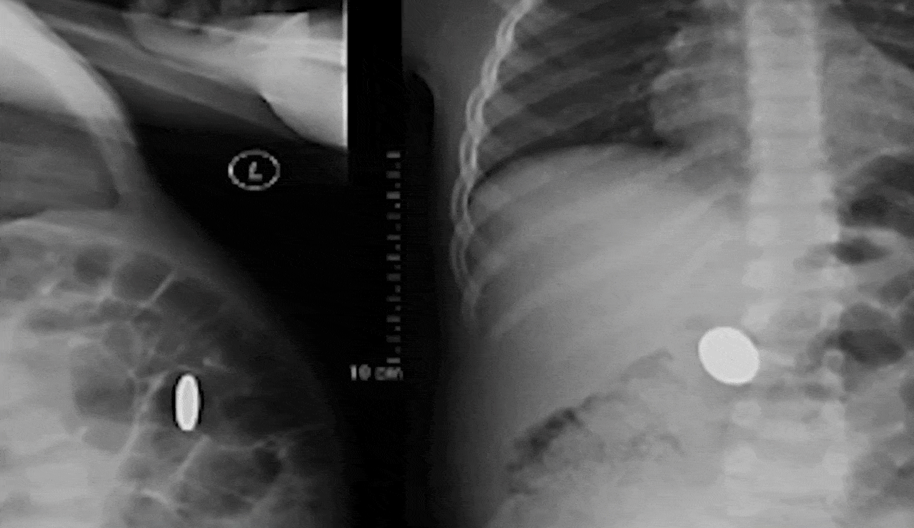
In a rare and surprising medical case, a young woman experienced unusual movements and severe stomach pain while operating medical equipment at a hospital. After 16 years of no health issues, her condition prompted her to seek medical advice, leading to the discovery of a coin stuck in her stomach.
Table of Contents
According to doctors at JN Medical College, the woman underwent an X-ray of the abdomen after experiencing unusual symptoms during her work. The X-ray revealed that a coin, which she had accidentally swallowed as a child, had been lodged in her stomach all these years.
Endoscopic Procedure Successfully Removes Coin
The coin was successfully removed through an endoscopy, a procedure that uses a flexible tube with a camera to examine and treat internal parts of the body. The woman’s medical condition was attributed to the coin’s magnetic effect, which caused strange movements and severe pain in her stomach while she was operating MRI equipment on patients.
Coin Swallowed as a Child Went Unnoticed for Years
It was revealed that the woman had swallowed the coin as a child, and her family believed it would naturally pass through her digestive system. Since the girl did not experience any problems or discomfort in the years following, her family never sought medical attention for the incident.
Also Read: Meteorological Warnings for More Storms: Telangana Struggles with Unseasonal Weather
Doctor’s Warning on Potential Dangers of Swallowed Objects
While the case is rare, medical experts warn that objects like coins can sometimes lead to more severe complications, such as intestinal rupture. However, in this case, the coin remained harmless and did not cause any serious damage.
The woman is now recovering well after the procedure and is expected to make a full recovery.